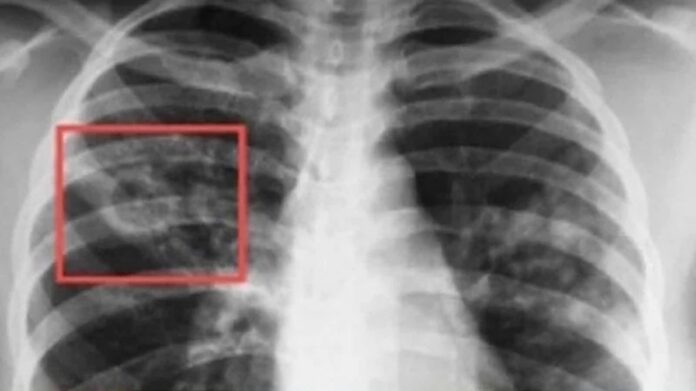
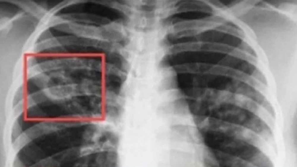
Днес се отбелязва Световният ден за борба с туберкулозата
Започва Седмица на отворените врати за туберкулоза. Това съобщават на сайта си от Столичната регионална здравна инспекция (СРЗИ). Днес се отбелязва Световният ден за борба с туберкулозата.
Инициативата е в рамките на изпълнението на Националната програма за превенция и контрол на туберкулозата в България, а целта е да се повиши обществената информираност по отношение на заболяването.
До 27 март 2026 г., в Кабинета за анонимно, безплатно консултиране и изследване за ХИВ/СПИН (КАБКИС) ще бъдат предоставяни здравно-информационни материали, насочени към превенция на туберкулозата, както и безплатни консултации за начините на предаване на болестта, симптомите, възможностите за профилактика и значението на ранната диагностика. Кабинетът се намира в сградата на СРЗИ – ул. „Враня“ 20, ет. 5, стая 520, посочват от инспекцията.
От СРЗИ призовават гражданите да се възползват от предоставените възможности за консултация като част от общите усилия за ограничаване на разпространението на туберкулозата.
В България диагностиката, лечението и профилактиката на туберкулозата са безплатни за всички, които се нуждаят, независимо от техния здравноосигурителен статус, посочват на сайта си от Националния център по заразни и паразитни болести. По инициатива на Световната здравна организация, всяка година на 24 март се отбелязва Световният ден за борба с туберкулозата. Това е възможност за повишаване на осведомеността на населението за тежестта на болестта в национален и световен мащаб и за подобряване на усилията за грижа и превенция. Датата е избрана в чест на първото научно съобщение, направено от д-р Робърт Кох, който на 24 март 1882 г. обявява, че е открил причинителя на туберкулозата – бактерията Mycobacterium tuberculosis.
Издръжливостта на туберкулозните бактерии във външната среда е много висока, посочват от онлайн платформата „Плюс мен“, създадена от Министерството на здравеопазването (МЗ) с цел популяризиране на ваксините и ползите от тях. В жилищни помещения, върху различни предмети запазват инфекциозните си свойства повече от три месеца.
Основният начин на предаване на причинителят на туберкулозата е при говор, издишване, кихане, кашляне. Поради високата издържливост на туберкулозните бактерии във външната среда е възможно те да се отделят с храчки, да изсъхват и във вид на вторичен аерозол да бъдат вдишани. В редки случаи причинителят на туберкулозата се предава и при консумация на заразена храна, най-често при консумация на заразено мляко.
Министерството на здравеопазването провежда дългогодишна политика по профилактика на туберкулоза. От 1951 г. в страната ни е въведена задължителна ваксинация срещу болестта. Изпълнява се и национална програма за превенция и контрол на туберкулозата, чрез която се осигурява лечение на пациентите и наблюдение и профилактика на техните контактни лица, посочват още от „Плюс мен“.
През януари 2026 г. на сайта на МЗ за едномесечно обществено обсъждане беше публикуван проектът на Национална програма за превенция на туберкулозата в Република България 2026-2030 г. Във финансовия план към проекта на програмата са предвидени 4 440 100 млн. евро, които ще бъдат осигурени от бюджета на МЗ.
БТА




















